|
|

|
|
¾î±ú ȸÀü±Ù°³ ÆÄ¿¿¡ ´ëÇÑ ¿¬±¸ ±¹Á¦ ÇмúÁö ³í¹® ¹ßÇ¥
|
|
õ¾È¡¤¾Æ»êÃæ¹«º´¿ø Á¤Çü¿Ü°ú À¯À缺±³¼ö
|
|
2022³â 03¿ù 21ÀÏ(¿ù) 14:11 [(ÁÖ)¿Â¾ç½Å¹®»ç] 
|
|
|

| 
| | ¨Ï ¿Â¾ç½Å¹® | õ¾È¡¤¾Æ»êÃæ¹«º´¿ø Á¤Çü¿Ü°ú À¯À缺 ±³¼ö<»çÁø>°¡ Ã¥ÀÓÀúÀÚ·Î Âü¿©ÇÑ ¾î±ú ȸÀü±Ù°³ ÆÄ¿¿¡ ´ëÇÑ ¿¬±¸ ³í¹®ÀÌ ±¹Á¦ ÇмúÁö¿¡ °ÔÀçµÇ´Â ¼º°ú¸¦ °ÅµÎ¾ú´Ù.
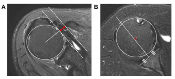
Á¤Çü¿Ü°ú ¼ö¼ú °ü·Ã ±¹Á¦ÇмúÁöÀÎ ¡®Journal of Orthopaedics¡¯¿¡ °ÔÀçµÈ ¡®The anterior translation of the humeral head leads to a decrease in the coracohumeral distance in subscapularis tear¡¯ ³í¹®Àº ¾î±ú ȸÀü±Ù°³ÀÇ °ß°©Ç졂 ÆÄ¿¿¡¼ ÆÄ¿ ÁøÇà¿¡ µû¶ó º¯ÇüÀÌ ÀϾ´Â °ñ¼º ±¸Á¶¹°¿¡ ´ëÇÑ ¿¬±¸ÀÌ´Ù.
À̹ø À¯À缺±³¼öÀÇ ³í¹®Àº °ß°©Ç졂 ÆÄ¿ÀÇ °úÁ¤¿¡ ´ëÇÑ ÀÌÇØ¸¦ µµ¿Í Ä¡·á °áÁ¤¿¡ µµ¿òÀ» ÁÖ´Â ¿¬±¸¿´´Ù´Â Á¡¿¡¼ ±× ÀÇÀǰ¡ ÀÖ´Ù.
À¯À缺 ±³¼ö´Â ¡°È¸Àü±Ù°³ ÆÄ¿Àº ¿îµ¿ ½Ã °úµµÇÑ ÈûÀ» °¡ÇßÀ» ¶§ ¹ß»ýÇϱ⵵ Çϳª, ¾î±ú °üÀý¿¡ ¹ß»ýÇÏ´Â ¸¸¼º ÅëÁõÀÇ °¡Àå ÈçÇÑ ¿øÀÎ Áß ÇϳªÀÎ ¸¸Å À̹ø ¿¬±¸°¡ ¾î±ú ÁúȯÀ¸·Î °í»ýÇϽô ¸¹Àº ºÐµé¿¡°Ô µµ¿òÀÌ µÉ ¼ö ÀÖ±æ ¹Ù¶õ´Ù. ¾ÕÀ¸·Îµµ ȯÀڵ鿡°Ô ÃÖ¼±ÀÇ Áø·á¸¦ Á¦°øÇÏ°í ½ÇÁúÀûÀÎ µµ¿òÀ» µå¸± ¼ö ÀÖµµ·Ï ¿¬±¸¿¡µµ ¸ÅÁøÇϰڴÙ.¡±°í ÀüÇß´Ù.
ÇÑÆí, ´ëÇѹα¹ Çڵ庼 ±¹°¡´ëÇ¥ ÆÀ´ÚÅͷεµ Ȱµ¿ ÁßÀÎ À¯À缺±³¼ö´Â ¿À½Ê°ß, ȸÀü±Ù°³Áúȯ, °ß°üÀý Å»±¸, Å״Ͻº ¿¤º¸¿ì, ¼Õ¸ñÅͳÎÁõÈıº µîÀÇ Áúȯ¿¡¼ ³»½Ã°æ Ä¡·á¸¦ ÁÖ·Î ´ã´çÇϰí ÀÖÀ¸¸ç, SCI±Þ Àú³ÎÀÇ ³í¹® ½É»çÀ§¿ø, ±¹Á¦ÇмúÁö ÆíÁýÀ§¿ø µî ½ºÆ÷Ã÷ÀÇÇÐ ºÐ°ú Àü¹®ÀǷμ ´Ù¾çÇÑ È°µ¿À» ÆîÄ¡°í ÀÖ´Ù.
| 
| | ¡è¡è <»çÁøÁ¦°ø=¾Æ»êÃæ¹«º´¿ø> | ¨Ï ¿Â¾ç½Å¹® | |
| 
| | ¡è¡è ¡ãÀü¹æÀÇ °ß°©Ç졂 ÆÄ¿ÀÌ ÁøÇàµÉ¼ö·Ï »ó¿Ï°ñÀÇ Àü¹æÀ̵¿°ú ¿À±¸µ¹±â »ó¿Ï °Å¸® °¨¼Ò°¡ ¹ß»ý <»çÁøÁ¦°ø=¾Æ»êÃæ¹«º´¿ø> | ¨Ï ¿Â¾ç½Å¹® | |
|
|
|
|
¿Â¾ç½Å¹®»ç ±âÀÚ ionyang@hanmail.net ¡°Áö¿ªÁ¤½Å ¿Â¾ç½Å¹®¡± - Copyrights ¨Ï(ÁÖ)¿Â¾ç½Å¹®»ç.
¹«´Ü ÀüÀç ¹× Àç¹èÆ÷ ±ÝÁö -
|
|
|
|
(ÁÖ)¿Â¾ç½Å¹®»ç
±â»ç¸ñ·Ï | ±â»çÁ¦°ø : (ÁÖ)¿Â¾ç½Å¹®»ç
|
|
|
|
|
|
|
|
|
|
|
|

|
|
|
|
ÃÖ±Ù±â»ç
|
|
|
|
|
¾î¿ï¸²°ø¿¬ ¡®¹è°íÆÄ¡¯ ÀÎÇü±Ø ¼º..
|
|
¾Æ»ê½Ã½Ã¼³°ü¸®°ø´Ü, ¿Ã¹Ù¸¥ ºÐ¸®..
|
|
(»ç)Ãæ³²¹ßÀüÇùÀÇȸ Á¦10´ë À̺´..
|
|
³ó»ê¹° °¡°ø°æ¿µÃ¼ ¡®³ó»ç¶û¡¯ ÀÔ..
|
|
Ãæ³²µµ¡¤½Ã±º ÀÚ¿øºÀ»ç ÅëÇÕ ¿î¿µ..
|
|
°ø°øºÎ¹® ³Ã¸Å°ü¸® Ãæ³²ÀÌ ¼±µµÇÑ..
|
|
¸ÍÀǼ®, ¾Æ»ê½ÃÀå Ã⸶ °ø½Ä ¼±¾ð..
|
|
Ãæ³²µµÀÇȸ, ¿¹»ê ½Ã·®ÃÊ ¡®Ã£¾Æ..
|
|
ÃæÃ»±Ç Çϳª·Î ¹¶Ä£´Ù¡¦2027 ÃæÃ»..
|
|
È£¼´ë ¹Ú°í¿î Çлý, ¸ÞÃ߸® »çÀ°..
|
|
¾Æ»ê½Ã¸Ô°Å¸®Àç´Ü, Áö¿ª ³ó°¡ Ȱ..
|
|
Ãæ³² ´Ù¿ì¸®Çб³, ¡®´Ù°¡°¨ ±³À°..
|
|
¡°ÇöÀåÀÇ ±â·Ï, ¼ºÀåÀÇ ³ªÄ§¹ÝÀÌ ..
|
|
Áø·ÎÁøÇб³À°Àº ÁßÇб³ ´Ü°èºÎÅÍ ..
|
|
°ÀÎÇÑ Ã¼·ÂÀº ½Ã¹ÎÀÇ »ý¸í°ú Àç..
|
|
±èÁ¾¹Î, K¸®±× Åë»ê 100°æ±â ÃâÀü..
|
|
¾Æ»ê½Ã, ¡®»çȸ¿¬´ë°æÁ¦ Çõ½Å¸ðµ¨..
|
|
Ãæ³²µµ, °í·ÉÈ ´ëÀÀ ¡®È¦¸ö³ëÀÎ ..
|
|
³í»ê ¼±»þÀη£µå ¡®Å¸ÀÓ½ºÄÉÀÌÇÁ..
|
|
Ãæ³²³ó¾÷±â¼ú¿ø, Å丶Åä ǰÁú ÀÎ..
|
|
|