|
|

|
|
¾î±ú ÈûÁÙ ¼Õ»ó ÇØºÎÇÐÀû ±¸Á¶¿¡ ´ëÇÑ ¿¬±¸
|
|
õ¾È¡¤¾Æ»êÃæ¹«º´¿ø Á¤Çü¿Ü°ú À¯À缺 ¹Ú»ç
|
|
2021³â 04¿ù 19ÀÏ(¿ù) 13:54 [(ÁÖ)¿Â¾ç½Å¹®»ç] 
|
|
|

| 
| | ¨Ï ¿Â¾ç½Å¹® | õ¾È¡¤¾Æ»êÃæ¹«º´¿ø Á¤Çü¿Ü°ú À¯À缺 ¹Ú»ç<»çÁø>°¡ Ã¥ÀÓÀúÀڷμ ¾î±ú ÈûÁÙ ¼Õ»óÀÇ ÇØºÎÇÐÀû ±¸Á¶¿¡ ´ëÇÑ ¿¬±¸À¸·Î SCI±Þ ±¹Á¦ ÇмúÁö¿¡ ³í¹®À» ¹ßÇ¥ÇÞ´Ù°í ¹àÇû´Ù.
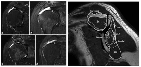
À¯À缺 ¹Ú»çÀÇ Á¤Çü¿Ü°ú ¼ö¼ú °ü·Ã SCI(E)±Þ ±¹Á¦ÇмúÁöÀÎ ¡®Indian Journal of Orthopaedics¡¯¿¡ °ÔÀçµÈ ¡®Relation of Superfcial and Deep Layers of Delaminated Rotator Cuff Tear to Supraspinatus and Infraspinatus Insertions¡¯ ³í¹®Àº ¾î±úÀÇ È¸Àü±Ù°³ ÆÄ¿ ¾ç»ó¿¡ µû¸¥ ȸÀü±Ù°³ ±ÙÀ° º¯È ¾ç»ó¿¡ ´ëÇØ ºÐ¼®ÇÏ¿© ȸÀü±Ù°³ ÆÄ¿ÀÇ ÇØºÎÇÐÀû ±¸Á¶¿¡ ´ëÇÑ ¿¬±¸ÀÌ´Ù.
| 
| | ¡è¡è ¡ãȸÀü±Ù°³ ±ÙÀ°ÀÇ º¯È <»çÁøÁ¦°ø=¾Æ»êÃæ¹«º´¿ø> | ¨Ï ¿Â¾ç½Å¹® | | ´ëÇѹα¹ Çڵ庼 ±¹°¡´ëÇ¥ ÆÀ´ÚÅͷΠȰµ¿ ÁßÀÎ À¯À缺 ¹Ú»ç´Â ´Ü±¹´ëÇб³ Á¤Çü¿Ü°ú ±³¼ö ÀçÁ÷ ÁßÀÌ´ø 2017³âºÎÅÍ ¡®¸¶¸£ÄûÁî ÈÄÁî ÈÄ ÀÎ ´õ ¿ùµå(Marquis Who¡¯s Who in the World)¡¯¿¡ µîÀçµÇ¾úÀ¸¸ç, ¾î±ú ¹× ÆÈ²ÞÄ¡ °üÀý ¼ö¼ú °á°ú¿¡ ´ëÇÑ ÀÓ»ó ³í¹®À» SCI±Þ Àú³Î 22ÆíÀ» Æ÷ÇÔÇÏ¿© ÃÑ 80¿© ÆíÀÇ ³í¹®À» °³Á¦Çß´Ù.
¶ÇÇÑ ¡®Jounral of Shoulder and Elbow Surgery¡¯, ¡®Orthopaedics and Traumatology: Surgery and Research¡¯ ¿Í ¡®BMD musculoskeletal disorder¡¯ÀÇ ³í¹® ½É»çÀ§¿ø ¹× ´Ù¾çÇÑ ±¹Á¦ÇмúÁöÀÇ ³í¹® ÆíÁýÀ§¿øÀ¸·Î Ȱµ¿ ÁßÀÌ´Ù.
¾Æ»êÃæ¹«º´¿øÀº ¾ÕÀ¸·Îµµ Á¤Çü¿Ü°ú Ä¡·á¿Í ¿¬±¸¿¡ ¸ÅÁøÇØ ÇÕº´Áõ ¾øÀÌ ºü¸£°Ô ȸº¹ÇÒ ¼ö ÀÖ´Â »õ·Î¿î Ä¡·á ¹æÇâÀ» Á¦½ÃÇÒ ¼ö ÀÖµµ·Ï ³ë·ÂÇϰڴ٠ÀüÇß´Ù.
|
|
|
|
¿Â¾ç½Å¹®»ç ±âÀÚ ionyang@hanmail.net ¡°Áö¿ªÁ¤½Å ¿Â¾ç½Å¹®¡± - Copyrights ¨Ï(ÁÖ)¿Â¾ç½Å¹®»ç.
¹«´Ü ÀüÀç ¹× Àç¹èÆ÷ ±ÝÁö -
|
|
|
|
(ÁÖ)¿Â¾ç½Å¹®»ç
±â»ç¸ñ·Ï | ±â»çÁ¦°ø : (ÁÖ)¿Â¾ç½Å¹®»ç
|
|
|
|
|
|
|
|
|
|
|
|

|
|
|
|
ÃÖ±Ù±â»ç
|
|
|
|
|
¾î¿ï¸²°ø¿¬ ¡®¹è°íÆÄ¡¯ ÀÎÇü±Ø ¼º..
|
|
¾Æ»ê½Ã½Ã¼³°ü¸®°ø´Ü, ¿Ã¹Ù¸¥ ºÐ¸®..
|
|
(»ç)Ãæ³²¹ßÀüÇùÀÇȸ Á¦10´ë À̺´..
|
|
³ó»ê¹° °¡°ø°æ¿µÃ¼ ¡®³ó»ç¶û¡¯ ÀÔ..
|
|
Ãæ³²µµ¡¤½Ã±º ÀÚ¿øºÀ»ç ÅëÇÕ ¿î¿µ..
|
|
°ø°øºÎ¹® ³Ã¸Å°ü¸® Ãæ³²ÀÌ ¼±µµÇÑ..
|
|
¸ÍÀǼ®, ¾Æ»ê½ÃÀå Ã⸶ °ø½Ä ¼±¾ð..
|
|
Ãæ³²µµÀÇȸ, ¿¹»ê ½Ã·®ÃÊ ¡®Ã£¾Æ..
|
|
ÃæÃ»±Ç Çϳª·Î ¹¶Ä£´Ù¡¦2027 ÃæÃ»..
|
|
È£¼´ë ¹Ú°í¿î Çлý, ¸ÞÃ߸® »çÀ°..
|
|
¾Æ»ê½Ã¸Ô°Å¸®Àç´Ü, Áö¿ª ³ó°¡ Ȱ..
|
|
Ãæ³² ´Ù¿ì¸®Çб³, ¡®´Ù°¡°¨ ±³À°..
|
|
¡°ÇöÀåÀÇ ±â·Ï, ¼ºÀåÀÇ ³ªÄ§¹ÝÀÌ ..
|
|
Áø·ÎÁøÇб³À°Àº ÁßÇб³ ´Ü°èºÎÅÍ ..
|
|
°ÀÎÇÑ Ã¼·ÂÀº ½Ã¹ÎÀÇ »ý¸í°ú Àç..
|
|
±èÁ¾¹Î, K¸®±× Åë»ê 100°æ±â ÃâÀü..
|
|
¾Æ»ê½Ã, ¡®»çȸ¿¬´ë°æÁ¦ Çõ½Å¸ðµ¨..
|
|
Ãæ³²µµ, °í·ÉÈ ´ëÀÀ ¡®È¦¸ö³ëÀÎ ..
|
|
³í»ê ¼±»þÀη£µå ¡®Å¸ÀÓ½ºÄÉÀÌÇÁ..
|
|
Ãæ³²³ó¾÷±â¼ú¿ø, Å丶Åä ǰÁú ÀÎ..
|
|
|